Contact Us

We are happy you found APA online! Feel free to contact us by filling out this form. Please provide only the information you would feel comfortable emailing.

In the case of a dental emergency, please call our office.

Austin Periodontal Associates                             
7800 Mopac, Suite 310                                         
Austin, TX 78759

Phone: (512) 346-6097

Email: sarah@austinperiodontal.com

Regular Office Hours:

  • Monday 7 am to 3 pm

  • Tuesday 7 am to 3 pm

  • Wednesday 7 am to 3 pm

  • Thursday 7 am to 3 pm

  • Friday By appointment only

7800 N Mopac Expy, Suite 310
Austin, TX, 78759
United States

(512) 346-6097

Board-certified periodontist Dr. Andrew Verrett provides comprehensive periodontal and dental implant services at Austin Periodontal Associates in Austin, Texas. Dr. Verrett specializes in the prevention, diagnosis, and treatment of gum disease, regeneration of lost bone and soft tissue, and the placement of dental implants to replace missing teeth. Using advanced digital imaging, minimally invasive surgical techniques, and modern regenerative materials, his office is equipped to deliver precise, comfortable, and long-lasting results. Austin Periodontal Associates is dedicated to providing personalized care in a professional setting, helping patients achieve optimal oral health and confident, natural smiles.

Soft Tissue Grafting

Soft Tissue Grafting

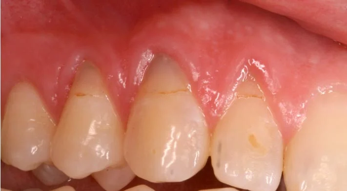
Longer teeth or exposed tooth roots can look unsightly. They can also increase your sensitivity to heat, cold or sweets.

The exposed roots are more susceptible to decay as well. In some cases, gum tissue can be placed in these areas to help protect the bony support and stabilize the tooth.

Procedure: The periodontist administers a local anesthetic, gently prepares the area and then places a gum tissue graft. There are 3 basic types of tissue grafts available today:

  1. Free Gingival Graft

  2. Connective Tissue Graft 

  3. AlloDerm

Both numbers 1 and 2 use a small piece of tissue taken from your palate and placed to cover the defect.  AlloDerm uses donor tissue. Therefore no tissue from your palate is used, resulting in less discomfort.

Exposed tooth roots are the result of gum recession. Your gums may have receeded for a variety of reasons, including aggressive tooth brushing or periodontal disease.

Related Article
Gingival Recession


Before

soft tissue grafting
soft tissue grafting before
soft tissue grafting before
tg4before.jpg
 
soft tissue grafting before
soft tissue grafting before

After

soft tissue grafting after
soft tissue grafting after
soft tissue grafting after
soft tissue grafting after
 
soft tissue grafting after
 
soft tissue grafting after